임플란트 주위염 환자의 임플란트 재식립
페이지 정보
작성자 최고관리자 댓글 0건 조회 196회 작성일25-08-07 18:43관련링크
본문
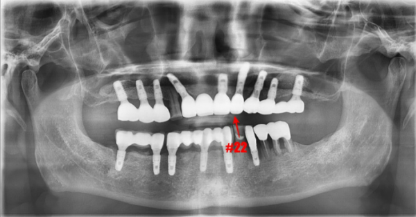
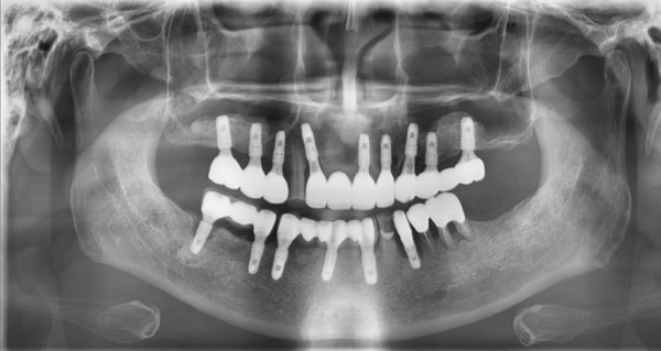
많은 분들이 임플란트 치료 후, 제일 걱정하시는 부분이 바로 임플란트 주위염입니다.
그 이유는 한 번 식립한 임플란트를 제거해야 한다는 두려움과 함께,
과연 다시 임플란트를 심을 수 있을지에 대한 불안감 때문입니다.
특히 앞니 부위에 문제가 생긴다면? 그 걱정은 더욱 커질 수밖에 없겠죠.
일반적으로 임플란트 주위에 세균 감염이 발생하여 치조골이 손상되면,
기존 임플란트를 제거한 후 상당한 기간을 기다려야 합니다.
이로 인해 대부분의 치과에서는 "임플란트 주위염"이라고 하면
제거 후 3~4개월 정도 기다린 뒤 재식립을 권유하기도 하는데,
본원에서는 내비게이션 기술을 이용하여 더 나은 치료 결과를 위해 노력하고 있습니다.
그렇다면 임플란트 주위염이 발생했을 때, 어떻게 치료하는 것이 가장 좋을까요?
자세한 내용은 상단에 블로그 링크를 통해 확인이 가능하십니다 ✪‿✪

댓글목록
등록된 댓글이 없습니다.