고혈압과 당뇨를 앓고 있는 환자의 임플란트 치료
페이지 정보
작성자 최고관리자 댓글 0건 조회 218회 작성일25-08-04 18:37관련링크
본문
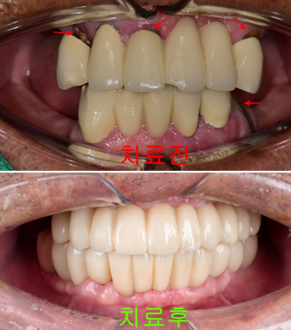
오래된 브릿지나 상태가 안 좋은 치아들 때문에 음식을 먹는데 불편함을 가지고 있으신가요?
한 개의 치아가 아니라 여러 치아에서 이런 문제가 발생된다면,
어떻게 치료할지 막막하고 이로 인해 스트레스도 쌓일 수밖에 없습니다.
이번 환자분은 고혈압과 당뇨를 앓고 계셔 약을 꾸준히 복용하고 계셨습니다.
기존의 브릿지와 손상된 치아들로 인해 저작에 어려움을 겪고 계셨고,
전체적인 치아 재건을 원하셨습니다.
자세한 내용은 상단에 블로그 링크를 통해 확인이 가능하십니다 ✪‿✪

댓글목록
등록된 댓글이 없습니다.