치아가 깨진 환자의 레진 치료
페이지 정보
작성자 최고관리자 댓글 0건 조회 250회 작성일25-08-01 17:10관련링크
본문
최근 치아 손상으로 치과를 찾는 환자가 많습니다.
특히 앞니가 깨지면 심미적으로 불편감이 커 치료를 서두르게 되는데요.
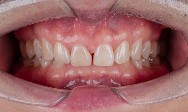
이번 환자분은 앞니 파절로 내원하셨습니다.
구강 검진 결과 치석과 초기 충치가 다수 발견되었고,
과거 레진 치료 부위도 변색과 경계 불량이 있었습니다.
위 이미지는 치료 전후 사진입니다.
자세한 내용은 상단에 블로그 링크를 통해 확인이 가능하십니다 ✪‿✪

댓글목록
등록된 댓글이 없습니다.